Skip to main content
Root Canal Treatment
A healthy, beautiful smile starts here

Root Canal Treatment | Dentist
Improve your smile today – call to schedule a consultation!
Claim Now!

Root Canal Treatment

This dental procedure is carried out when the innermost part of the tooth ‘the pulp’ becomes badly decayed or infected. If left untreated, the tooth will begin to die which could lead to the loss of the tooth.  To save the tooth, the infected pulp needs to be removed to prevent the formation of an abscess. In dental terms, this procedure is called ‘Endodontics’

The tooth is made up of

  • Enamel – The hard outer layer of the tooth.
  • Dentine – This forms the core and gives the basic shape to the tooth which supports the enamel, it is softer than enamel but harder than bone.
  • Pulp – Is the central part of the tooth which contains nerves and blood vessels and lies within the root canal

The reason the pulp would die

Caries – If caries ‘decay’ is left it will travel through the enamel and dentine down into the pulp chamber. 
Trauma – A severe knock that affects the pulp. 
Severe Gum Disease - The gum detaches itself from the tooth creating a gap between the tooth and the gum, bacteria then gets trapped causing an infection which can infect the pulp. 

 

 

The symptoms

  • Pain – This can be anything form a constant dull ache to severe pain or pain only when biting
  • A spot sometimes appears on the gum in the area of the infected tooth, this is where the collection of puss from the root tip is draining
  • which will leave a bad taste in your mouth.
  • Swelling in the gum area surrounding your tooth

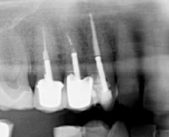
On your initial appointment the dentist will locate the offending tooth and take an x-ray in order to show the roots of the tooth, to see how far the decay has travelled and if there is an abscess present. A course of antibiotics may be given to clear the abscess before the treatment is started as the abscess will reoccur if the treatment is NOT carried out.

The first appointment

  • The dentist will give you a local anaesthetic to numb the tooth and the area surrounding it.
  • Your tooth will then be isolated from the rest of your teeth using a ‘rubber dam’ which is a thin sheet of rubber placed over your mouth. It is used to keep the tooth dry as saliva has bacteria present which can infect the tooth. It is also used to protect your airway as the instruments used to clean the canals are very small.
  • Your dentist has to gain access to the pulp chambers, this is done by drilling a hole in the top of your tooth.
  • Once access has been gained to the pulp chambers the dead pulp is removed from the root canals using very small files and a hydrochloric wash. An additional x-ray will be taken at this point.
  • Once the root canals are cleaned the dentist will place  a medication to help clear any bacteria. The tooth will then either be temporarily filled and another appointment required or if the infection was not too serious, the tooth can be filled permanently and your treatment complete.
  • The tooth may feel tender for a few days and you may need to take pain killers

If a second appointment is necessary

  • You will be given a  local anaesthetic to numb tooth and the surrounding tissue
  • The rubber dam will be placed and your temporary filling will be removed.
  • The dentist will continue cleaning out the canals using the same process as before. Once the canals are clean and dry they will be filled with a material called ‘Gutta Percha’ which is placed into the root canal until it is sealed.
  • An X-ray is then taken to check that the canals have been filled completely.
  • A permanent filling will then be put in place.
  • Your dentist may advise you to have a crown placed on the tooth to strengthen it.

Frequently Asked Questions

Any surgical or invasive procedure carries risks. Before proceeding, you should seek a second opinion from an appropriately qualified health practitioner.

The techniques used to perform root canal treatment have advanced considerably, making this routine procedure no more uncomfortable or inconvenient than a filling.

Many people who need root canal therapy are currently in pain, and a root canal will help to relieve your pain and save your tooth. After your procedure, you may experience some swelling and discomfort, but this will soon go away as you heal.

Meet Our Doctor:

Dr Shanti Tatineni BDS
Dentist

Getting an appointment is fast and easy!
Get Started!